В Днепропетровске врачи спасли жизнь солдата АТО с осколком в сердце

Врачи Днепропетровской областной клинической больницы имени Мечникова борются за жизнь солдата АТО, которого осколком ранило в самое сердце.
Об этом на своей странице в Facebook сообщил главный врач медучреждения Сергей Рыженко.
По его словам, боец из Кировоградщины находится в зоне АТО уже 9 месяцев.
Читайте: Под Углегорском погибли шесть бойцов черниговского батальона, три попали в плен, 16 ранены
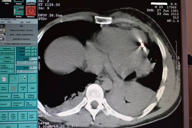
"Горящее сердце солдата.
Сергей с Кировоградщины. В АТО уже 9 месяцев.
Торакоабдоминальное ранение, резекция легкого, осколок в стенке сердца.
Еще бы 1-2 милиметра – и не помог бы никто.
Читайте: Из-за атак боевиков на Углегорск и Дебальцево погибли четверо мирных жителей
Дома жена и 5-летний ребенок.
Сердце горит не от осколка, а от предстоящей встречи с семьей – говорит он", - пишет главврач.
Как сообщал "Обозреватель", раненому Дмитрию Ярошу угрожала ампутация руки.











